
Implante ocular eletrônico e óculos AR restauram a visão de leitura em pessoas com perda de visão

Imagem do chip no olho de um paciente. Crédito: Corporação Científica
Depois de serem tratadas com um implante ocular eletrônico combinado com óculos de realidade aumentada, pessoas com perda de visão recuperaram a visão de leitura, relata um estudo envolvendo um pesquisador clínico da UCL (University College London) e do Moorfields Eye Hospital.
Os resultados do ensaio clínico europeu, publicado em O Jornal de Medicina da Nova Inglaterramostraram que 84% dos participantes eram capazes de ler letras, números e palavras usando a visão protética através de um olho que já havia perdido a visão devido a uma doença ocular progressiva intratável, atrofia geográfica com degeneração macular relacionada à idade (DMRI) seca.
Aqueles tratados com o aparelho também conseguiam ler, em média, cinco linhas de um gráfico de visão; alguns participantes nem conseguiam ver o gráfico antes da cirurgia.
O ensaio, com 38 pacientes em 17 hospitais em cinco países, testou um dispositivo pioneiro denominado PRIMA, sendo o Moorfields Eye Hospital o único local no Reino Unido. Todos os pacientes perderam completamente a visão antes de receberem o implante.
A DMRI seca é uma deterioração lenta das células da mácula ao longo de muitos anos, à medida que as células da retina sensíveis à luz morrem. Para a maioria das pessoas com DMRI seca, elas podem apresentar uma ligeira perda de visão central.
Através de um processo conhecido como atrofia geográfica (AG), pode progredir para a perda total da visão do olho, à medida que as células morrem e a mácula central desaparece. Atualmente não existe tratamento para a GA, que afeta 5 milhões de pessoas em todo o mundo. Todos os participantes neste ensaio perderam a visão central do olho testado, deixando apenas uma visão periférica limitada.
Este novo implante revolucionário é o primeiro dispositivo que permite às pessoas ler letras, números e palavras através de um olho que perdeu a visão.
Mahi Muqit, professor associado do Instituto de Oftalmologia da UCL e consultor vitreorretiniano sênior do Moorfields Eye Hospital, que liderou o braço do estudo no Reino Unido, disse: “Na história da visão artificial, isso representa uma nova era. Os pacientes cegos são realmente capazes de ter uma restauração significativa da visão central, o que nunca foi feito antes.
“Recuperar a capacidade de ler é uma grande melhoria em sua qualidade de vida, melhora seu humor e ajuda a restaurar sua confiança e independência. A operação do chip PRIMA pode ser realizada com segurança por qualquer cirurgião vitreorretiniano treinado em menos de duas horas — isso é fundamental para permitir que todos os pacientes cegos tenham acesso a esta nova terapia médica para GA na DMRI seca.”
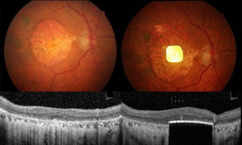
O procedimento envolve uma vitrectomia, onde a geleia vítrea do olho é removida entre o cristalino e a retina, e o cirurgião insere o microchip ultrafino, que tem o formato de um cartão SIM e tem apenas 2 mm x 2 mm. Este é inserido sob o centro da retina do paciente, criando um alçapão no qual o chip é colocado.
O paciente utiliza óculos de realidade aumentada, contendo uma câmera de vídeo conectada a um pequeno computador, com recurso de zoom, preso à cintura.

Participante do estudo Sheila Irvine, paciente de Moorfields, treinando com o dispositivo PRIMA. Crédito: Moorfields Eye Hospital
Cerca de um mês após a operação, assim que o olho estiver estabilizado, o novo chip é ativado. A câmera de vídeo nos óculos projeta a cena visual como um feixe infravermelho diretamente através do chip para ativar o dispositivo.
Algoritmos de inteligência artificial (IA) através do computador de bolso processam essas informações, que são então convertidas em um sinal elétrico. Este sinal passa pelas células da retina e dos nervos ópticos até o cérebro, onde é interpretado como visão.
O paciente usa seus óculos para focar e escanear o objeto principal na imagem projetada pela câmera de vídeo, usando o recurso de zoom para ampliar o texto. Cada paciente passa por um programa intensivo de reabilitação durante vários meses para aprender a interpretar esses sinais e começar a ler novamente.
Nenhum declínio significativo na visão periférica existente foi observado nos participantes do estudo.
Essas descobertas abrem caminho para a busca de aprovação para comercializar este novo dispositivo.
O ensaio global foi liderado pelo Dr. Frank Holz, da Universidade de Bonn, com participantes do Reino Unido, França, Itália e Holanda.
O dispositivo PRIMA System utilizado nesta operação está sendo desenvolvido pela Science Corporation (science.xyz), que desenvolve interfaces cérebro-computador e engenharia neural.

Microchip ultrafino PRIMA. Crédito: Corporação Científica
O dispositivo é um novo implante fotovoltaico sub-retiniano sem fio emparelhado com óculos especializados que projetam luz infravermelha próxima ao implante, que atua como um painel solar em miniatura.
Tem 30 micrômetros/mícrons (0,03 mm) de espessura, cerca de metade da espessura de um fio de cabelo humano.
Um recurso de zoom oferece aos pacientes a capacidade de ampliar as letras. É implantado na camada sub-retiniana, sob as células da retina que morreram. Até que os óculos e o computador da cintura sejam ligados, o implante não terá nenhum estímulo visual ou sinal para passar ao cérebro.
Além de praticar a leitura e frequentar treinamentos regulares, os pacientes do estudo foram incentivados a explorar formas de usar o dispositivo. Sheila optou por aprender a fazer quebra-cabeças e palavras cruzadas, enquanto um dos pacientes franceses os usou para ajudar a navegar no metrô de Paris – sendo ambas as tarefas mais complexas do que apenas ler.
Mahi Muqit, pesquisador clínico da UCL e Moorfields, disse: “Minha sensação é que a porta está aberta para dispositivos médicos nesta área, porque não há tratamento atualmente licenciado para DMRI seca – ele não existe.
“Acho que é algo que, no futuro, poderá ser usado para tratar diversas doenças oculares.
“O processo de reabilitação é fundamental para esses dispositivos. Não é como se você estivesse colocando um chip no olho e depois pudesse ver novamente. Você precisa aprender a usar esse tipo de visão.
“São pacientes idosos que não conseguiam mais ler, escrever ou reconhecer rostos devido à perda de visão. Eles nem conseguiam ver o gráfico de visão antes. Eles deixaram de estar no escuro e passaram a ser capazes de começar a usar a visão novamente, e estudos mostraram que a leitura é uma das coisas que os pacientes com perda progressiva de visão mais sentem falta.”
Mais informações:
Restauração da visão com sistema de neuroestimulação na atrofia geográfica devido à DMRI, Jornal de Medicina da Nova Inglaterra (2025).
Fornecido pela University College Londres
Citação: Implante ocular eletrônico e óculos AR restauram a visão de leitura em pessoas com perda de visão (2025, 20 de outubro) recuperado em 20 de outubro de 2025 em https://medicalxpress.com/news/2025-10-electronic-eye-implant-ar-glasses.html
Este documento está sujeito a direitos autorais. Além de qualquer negociação justa para fins de estudo ou pesquisa privada, nenhuma parte pode ser reproduzida sem permissão por escrito. O conteúdo é fornecido apenas para fins informativos.