segundo
- Notícias
Conexões online têm impacto duplo na saúde mental dos adolescentes, segundo estudo
Crédito: Pixabay/CC0 Domínio Público Embora adolescentes e adolescentes em todo o mundo estejam mais conectados socialmente do que nunca através…
Ler Mais » - Notícias
Os níveis de testosterona diminuem com a idade, não com a menopausa, segundo estudo
Crédito: Anastasia Shuraeva da Pexels A mídia social promove amplamente a testosterona como uma parte essencial da terapia hormonal da…
Ler Mais » - Notícias
Climas mais frios afetam as habilidades cognitivas e físicas dos bombeiros, segundo pesquisa
Crédito: Universidade de Chichester A capacidade de tomada de decisões, a memória, os tempos de resposta e a destreza registaram…
Ler Mais » - Notícias
Câncer relacionado à obesidade está aumentando entre adultos mais jovens e mais velhos em todo o mundo, segundo estudo
Crédito: Pixabay/CC0 Domínio Público Um estudo de vigilância comparou as tendências internacionais de incidência de cancro de 13 tipos de…
Ler Mais » - Notícias
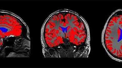
O sono profundo apoia a memória através do fluido cerebral e dos ritmos neurais, segundo a pesquisa
Imagem de ressonância magnética do cérebro com os ventrículos laterais coloridos em azul. Os ventrículos estão cheios de líquido cefalorraquidiano.…
Ler Mais » - Notícias
A voz da mãe estimula o desenvolvimento do centro da linguagem no cérebro dos prematuros, segundo estudo
Crédito: Pixabay/CC0 Domínio Público Ouvir o som da voz da mãe promove o desenvolvimento de vias de linguagem no cérebro…
Ler Mais » - Notícias
A saúde do cérebro pode ser melhorada com uma dieta rica em gordura e pobre em carboidratos, segundo estudo
Saúde de precisão da próxima geração. Crédito: Universidade do Missouri Pode haver uma maneira de proteger a energia cerebral para…
Ler Mais » - Notícias
A esquizofrenia está ligada a déficits de ferro e mielina no cérebro, segundo estudo de neuroimagem
Visão geral das hipóteses da equipe. Os pesquisadores combinaram a suscetibilidade magnética (aumenta com o ferro, diminui com a mielina)…
Ler Mais » - Notícias
Michigan anuncia o segundo surto de sarampo, enquanto os EUA acertam 1.227 casos
Uma placa é vista fora do distrito hospitalar de Seminole, oferecendo testes de sarampo, 21 de fevereiro de 2025, em…
Ler Mais » - Notícias
Uma maneira mais inteligente de obter informações quando cada segundo contagens
Crédito: CC0 Domínio Público Um novo método para obter informações de salvar vidas de pessoas apanhadas em situações em movimento…
Ler Mais » - Notícias
A semaglutida também pode ser benéfica para pessoas com diabetes tipo 1, segundo ensaio clínico
Crédito: Unsplash/CC0 Domínio Público A semaglutida (conhecida pela marca Ozempic) ganhou ampla atenção por seus benefícios na perda de peso,…
Ler Mais » - Notícias
Eletrizar seu treino pode aumentar a massa e a força dos músculos, segundo estudo
Zahra Fatahimeiabadi, estudante de pós-graduação no laboratório de Sudip Bajpeyi, Ph.D., professor do Departamento de Cinesiologia da Universidade do Texas…
Ler Mais » - Notícias
Segundo paciente de transplante de coração de porco oferece lições vitais
Lawrence Faucette, 58, recebeu um coração de porco no Centro Médico da Universidade de Maryland em 2023 para tratar sua…
Ler Mais » - Notícias
Cozinhar alho e cebola em fogo alto pode formar gorduras trans, segundo estudo
Compostos naturais de enxofre promovem a formação de ácidos graxos trans (TFAs) durante o aquecimento. Crédito: Masaki Honda/Universidade Meijo Os…
Ler Mais » - Notícias
Leite cru refrigerado abriga vírus infeccioso da gripe por 5 dias, segundo estudo
Crédito: Cartas de Ciência e Tecnologia Ambiental (2024). DOI: 10.1021/acs.estlett.4c00971 O leite cru, aclamado por alguns como uma alternativa natural…
Ler Mais » - Notícias
Altas taxas de suicídio entre crianças indígenas americanas e nativas do Alasca, segundo estudo
Caminhos para pensamentos e comportamentos suicidas em adolescentes. 1. Caminho tradicional do suicídio. 2. Prazo impulsivo extremamente curto. 3. Aqueles…
Ler Mais » - Notícias
Muitos centros de gravidez em crise anunciam ‘reversão da pílula abortiva’ não comprovada, segundo estudo
Crédito: Unsplash/CC0 Domínio Público Um novo estudo descobriu que a grande maioria dos centros de gravidez em crise oferece serviços…
Ler Mais » - Notícias
Mulheres com remoção ovariana têm fatores de risco e resiliência únicos para a doença de Alzheimer, segundo pesquisa
Crédito: Pixabay/CC0 Domínio Público Uma pesquisa publicada por uma equipe de pesquisadores da Universidade de Toronto em colaboração com colegas…
Ler Mais » - Notícias
A intolerância à inquietação dos outros pode levar à tensão no relacionamento, segundo estudo
A misocinesia, a intolerância à inquietação e aos movimentos corporais repetitivos dos outros, pode fazer com que as pessoas experimentem…
Ler Mais » - Notícias
Na forma agressiva de câncer de mama, a resposta à terapia pode contribuir para o crescimento do tumor, segundo estudo
Modelo de alterações pró-tumorais da MEC impulsionadas pela radiação no microambiente mamário. Crédito: Biomateriais (2024). DOI: 10.1016/j.biomateriais.2024.122531 Um estudo recente…
Ler Mais »